Facettes dentaires
Facettes dentaires
La réalisation de facettes céramiques stratifiées extrêmement fines pour un sourire naturel qui corresponde à vos souhait est un travail très minutieux et délicat. Car au-delà de la technique, il y a votre sourire qui doit s’intégrer dans l’esthétique de votre visage et illuminer ce dernier.
Aussi avons nous choisi de ne pas déléguer la fabrication de votre sourire à un laboratoire extérieur, mais de maîtriser toutes les étapes, y compris la fabrication, en réalisant nous-mêmes les facettes dentaires sur place, dans notre laboratoire dentaire.
Comment cela se passe ?
Les facettes sont de fines pellicules de céramique collées sur le devant des dents. Elles permettent de modifier la position, l’alignement, le volume, la forme et la teinte des dents.
De la même façon qu’il n’existe pas une paire de lunette universelle valable pour tout le monde et pour tous les défauts de vision, il existe différentes sortes de facettes en fonction de la situation clinique et des corrections à apporter.
Les facettes dentaires peuvent être unitaires – pour réparer une dent cassée par exemple – ou bien multiple pour modifier ou magnifier un sourire.
Quand peut on faire des facettes ?
Les facettes sont réalisables à tout âge à partir du moment ou les dents définitives sont en place.
Elles permettent de modifier la position, l’alignement, le volume, la forme et la teinte des dents.
Les facettes peuvent donc être la solution pour améliorer le sourire en cas de : dents tachées, dents jaunies, dents abîmées, dents trop courtes , dents colorées, dent ébréchée, dent cassée, émail dentaire abîmé, amélogénèse imparfaite, dents écartées ,espaces dentaires ou diastème, dents mal alignées, dents petites, dents usées de MIH (Molar Incisor Hypominéralisation), d’hypocalcification des dents, d’espace entre deux dents qui font des trous noirs, dents irrégulières…
Mais seule une consultation avec étude de tous les éléments de diagnostic permet de voir si les facettes sont adaptées à votre cas et quel type de facette faire.
Quels matériaux pour les facettes dentaires ?
Nous ne travaillons que la céramique qui est le matériaux le plus proche de la dent naturelle, le plus biocompatible, le plus durable et le plus résistant dans le temps.
Les céramiques que nous utilisons ont des propriétés optiques de translucidité, de luminosité, de brillance, de teintes naturelles comme celles que l’on trouve dans les dents jeunes.
Chaque sourire est unique et en fonction de la situation de départ et du résultat souhaité nous établissons un projet esthétique .En fonction de ce projet, nous choisissons le type de facette (stratifiée ou non) et le matériau céramique le plus adapté (zircone, disilicate de lithium ou feldspathique).
Avant
Après
Comment se passe la pose de facettes dentaires ?
Nous prenons d’abord le temps de vous écouter, de comprendre vos souhaits. Puis, après l’examen clinique et analyse des photos, des video, des radios, des moulages de votre bouche, nous établissons un projet esthétique sur mesure préservant au mieux vos dents et qui respecte votre personnalité.
Parfois, il est nécessaire également de faire un bilan d’occlusion (étude de la façon dont les dents s’engrènent et rentrent en contact lors de la mastication). Car si l’esthétique est très importante, la fonction est essentielle pour assurer le confort, la solidité et la durée de vos facettes dentaires.
En général, nous réalisons ensuite une modélisation en cire du projet esthétique sur modèle de votre bouche (appelé un wax up) et un moke up (transfert provisoire en bouche du projet esthétique afin de voir le rendu esthétique final de votre nouveau et joli sourire).
Nous prenons le temps de répondre à vos questions, de vous informer des étapes, des procédures cliniques et de vous remettre un devis détaillé.
C’est seulement après votre validation du projet esthétique que nous programmons la réalisation clinique.
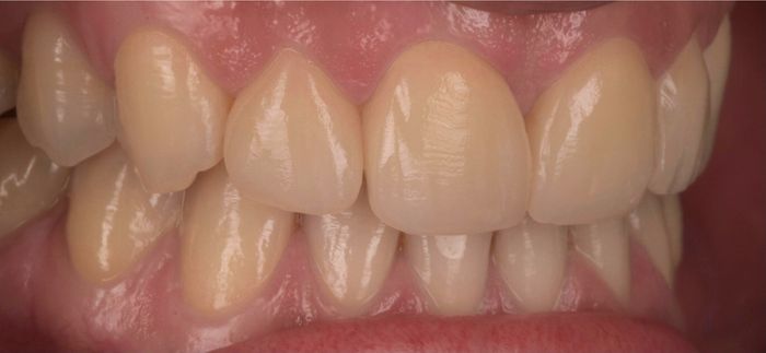
Avant
Après
Un sourire naturel
Avant
Après
Un sourire naturel
Faut-il diminuer les dents ?
Notre philosophie est de préserver au mieux les structures de la dent. En effet, des restaurations esthétiques et biologiquement durables ne sont possible que si le précieux capital de la dent naturelle est préservé.
En général une diminution très fine de l’émail de l’ordre de 0,5 mm est nécessaire afin de pouvoir remplacer l’émail abîmé, fragile ou pour redonner la bonne couleur, le bon alignement ou la bonne forme. Mais chaque sourire est unique et seul l’examen clinique et l’étude du projet esthétique permettent de déterminer s’il est nécessaire de diminuer les dents et de quelle épaisseur.
Est-ce solide et durable ?
Bien que très fines, les facettes céramiques sont extrêmement résistantes une fois collées sur l’émail des dents. Cela permet même de renforcer les dents âgées ou fragiles.
Les facettes céramique ne changent pas de teinte dans le temps, ne se colorent pas et ne se tachent pas. Leur entretient ne nécessite pas de soins particuliers, juste une hygiène bucco-dentaire classique avec un bon brossage de dents et une visite annuelle de contrôle chez le dentiste .
Avant
Coupe longitudinale d’une facette
Après
Quel est le prix d’une facette ?
Votre sourire est important, chaque situation est différente, Il n’existe pas de solution et de prix unique.
Pour un travail de qualité, après avoir écouté vos souhaits, étudié votre sourire et établi ensemble un projet esthétique, nous déterminerons le type de facette et de céramique le plus approprié pour vous.
Vous serez informé en détail des étapes pour atteindre le résultat souhaité. Un devis vous sera présenté. Ce n’est que lorsque vous avez pris le temps nécessaire à la réflexion et validé le projet que nous établissons ensemble un calendrier des soins.
MENTIONS LÉGALES | PLAN DE SITE
©2026 Espace Dentaire Béziers - Fait en France avec ❤ par Daphnée LAU










